Pressemitteilungen aus Baden-Württemberg

Behandlung von Gebärmuttermyomen mit Ultraschall

Lesedauer weniger als 2 Min

Barmer und Marienhospital schließen Vertrag

Stuttgart, 21. Februar 2017 - Magnetic Resonance Guided High Intensity Focused Ultrasound, kurz MR-HIFU, dahinter verbergen sich gebündelte Schallwellen, die eine Behandlung von Gebärmuttermyomen ganz ohne Operation ermöglichen. Das Stuttgarter Marienhospital war eine der ersten Kliniken in Deutschland, die diese schmerzfreie Bestrahlung angeboten hat. Als erste Krankenkasse überhaupt hat die Barmer mit der Klinik einen Vertrag geschlossen, der Versicherten mit entsprechender Indikation einen schnellen Zugang zu dieser schonenden Präzisionsbehandlung ermöglicht.

Schneller Behandlungsbeginn, weniger Bürokratie

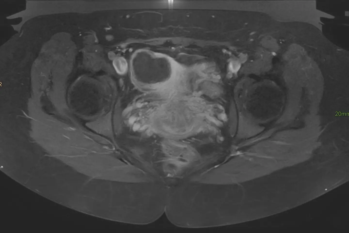
MRT-Aufnahme Myom


Die Behandlung von Gebärmuttermyomen mittels MR-HIFU ist keine Regelleistungen der Krankenkasse, das Marienhospital muss für jeden Eingriff einen Antrag stellen. Nicht so bei Versicherten der Barmer. Kommt bei ihnen eine Therapie mittels MR-HIFU infrage, dann kann diese direkt auf Veranlassung der behandelnden Ärzte erfolgen, ein Antrag ist nicht notwendig. „Durch die Kooperation mit dem Marienhospital erhalten unsere Versicherten schnellen Zugang zu schonender Spitzenmedizin, die Klinik profitiert von weniger Bürokratie und kann sich voll der medizinischen Behandlung widmen“, erklärt Barmer Landesgeschäftsführer Winfried Plötze. Ob eine Patientin mit dem MR-HIFU behandelt werden kann, prüfen Fachärzte des Marienhospitals. "Unter anderem spielen Größe und Lage des Myoms bei der Entscheidung eine Rolle", erklärt Prof. Markus Zähringer, Ärztlicher Direktor der Klinik.

Schallwellen ersetzen das Skalpell

Während der Behandlung liegen die Patientinnen in der Röhre eines Magnetresonanz-Tomografen, darunter befindet sich die HIFU-Einheit, die konzentrierte Schallwellen durch die Bauchdecke auf das Myom schießt. Die Geschwulst wird erhitzt, nicht mehr durchblutet und schrumpft letztendlich so weit ein, dass sie keine Probleme mehr bereitet. Auf diese Weise kann eine OP, gegebenenfalls sogar die Entfernung der Gebärmutter vermieden werden. Die ambulante Behandlung ist schmerzfrei, eine Narkose ist nicht notwendig.

Service für die Redaktion

Vorbereitung einer Untersuchung im MRT


Das Foto darf im Rahmen der Berichterstattung über die Kooperation von Barmer und Marienhospital kostenfrei verwendet werden. Bitte geben Sie als Quelle „Philipps Healthcare“ an.

Als Bildunterschrift empfehlen wir: Zwei bis drei Stunden dauert die MR-HIFU Behandlung. Die Patientinnen können die Klinik schon kurz nach der Bestrahlung wieder verlassen.

Interessierten Journalisten vermitteln wir gerne einen Besichtigungstermin im Stuttgarter Marienhospital.

Kontakt für die Presse:

Marion Busacker
Pressesprecherin Barmer Baden-Württemberg
Telefon: 0800 33 30 04 35 1130
E-Mailpresse.bw@barmer.de
Twitter: twitter.com/BARMER_BW